Smile Gallery

Take a look at our work by observing our patient before and afters below.

Request an Appointment

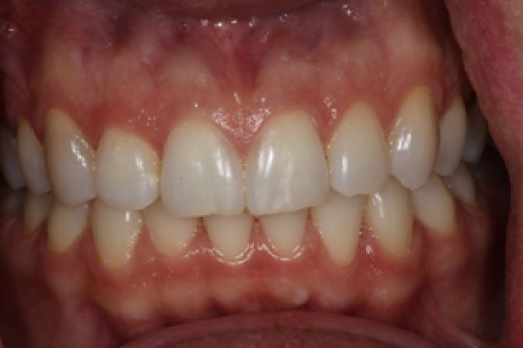
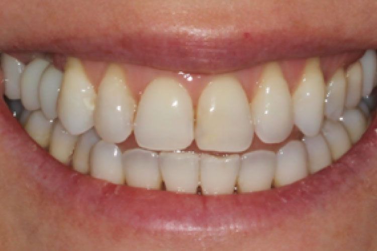
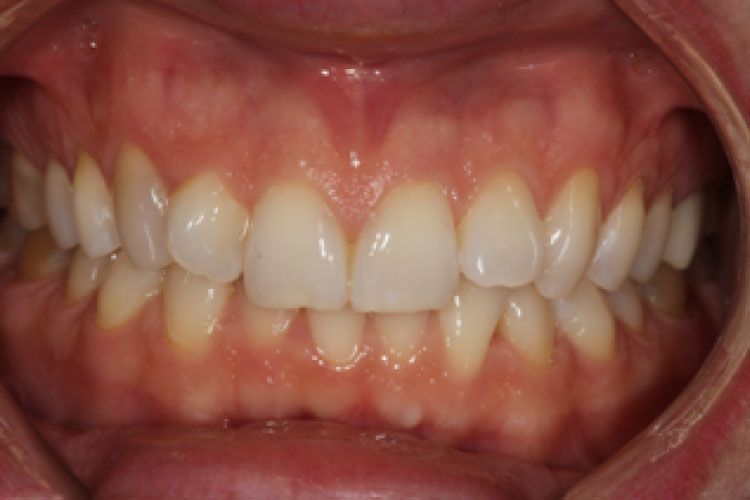
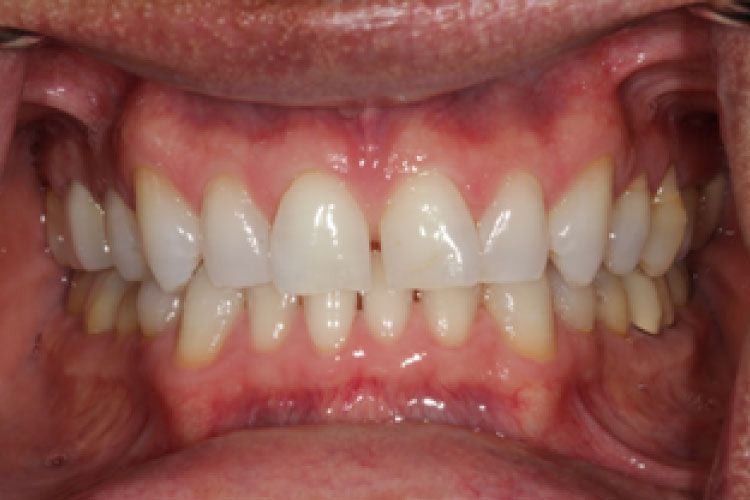
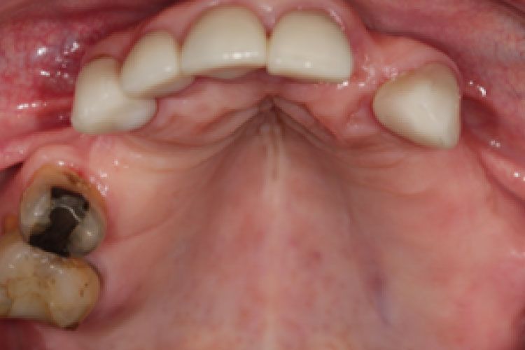
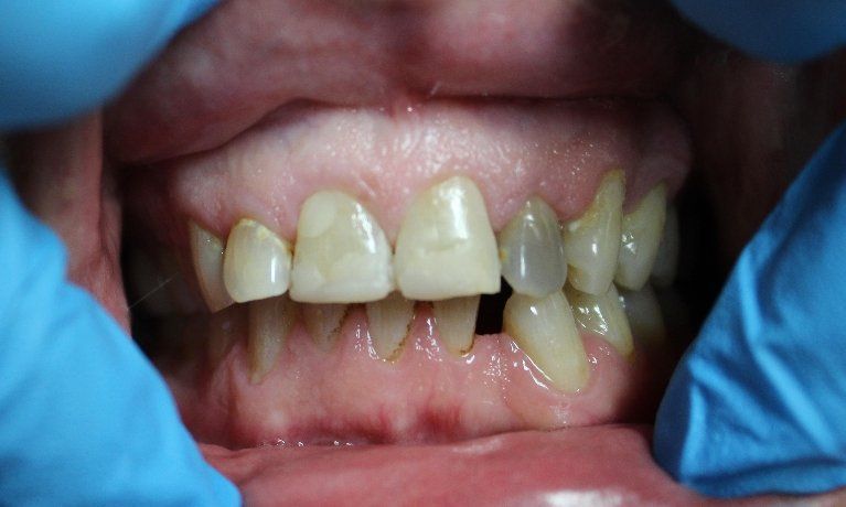
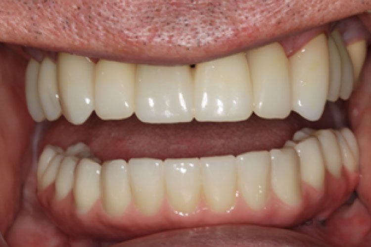
Closing the Gap

This patient was concerned about spacing but didn't want to go through braces. Our team worked to close the gap while making his teeth look as beautiful as possible. They will look even better once the gums heal around the crowns.

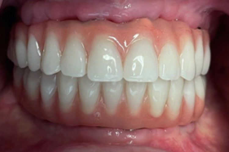
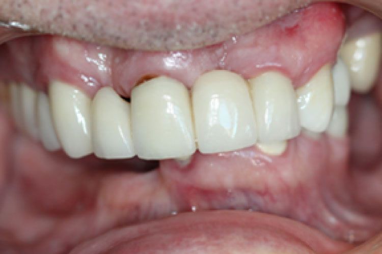
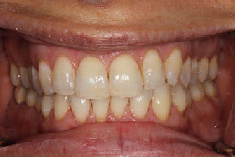
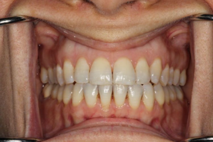
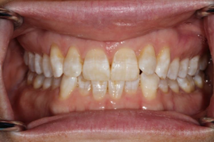
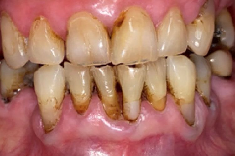
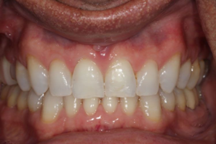
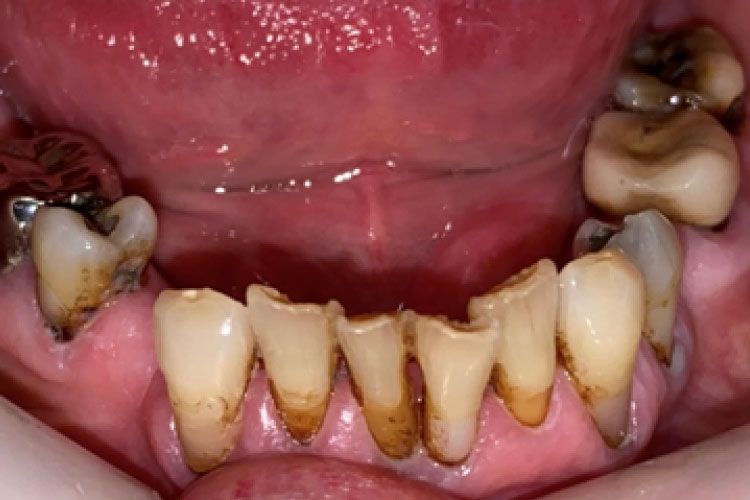
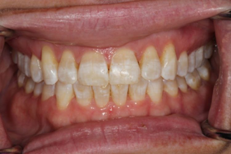
OLD WORK TO NEW WORK

This patient wanted a new smile that could be completed fast but was still affordable. His insurance company helped out. Ultimately, he got good results in both the alignment and color categories.